Connect with us

lifestyle

Five Effective Methods For Eliminating Dental Cavities

Published

on

Five Effective Methods For Eliminating Dental Cavities....KINDLY READ THE FULL STORY HERE▶

Here are five ways to effectively get rid of dental cavities…READ ALSO

  1. Maintain Proper Oral Hygiene: Brush your teeth at least twice a day with fluoride toothpaste and floss daily to remove plaque and food particles that can contribute to cavity formation.
  2. Limit Sugar Consumption: Reduce your intake of sugary foods and beverages, as bacteria in the mouth feed on sugar and produce acids that can erode tooth enamel and lead to cavities.
  3. Use Fluoride Products: Use fluoride mouthwash or fluoride treatments prescribed by your dentist to strengthen tooth enamel and prevent cavity formation.
  4. Regular Dental Check-ups: Visit your dentist regularly for professional cleanings and check-ups. Your dentist can detect cavities early and provide appropriate treatment to prevent them from worsening.
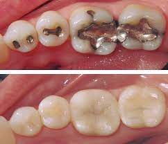
  5. Receive Dental Fillings: If cavities have already formed, your dentist may recommend dental fillings to remove the decayed portion of the tooth and restore its structure. Fillings can help prevent further decay and restore the tooth’s function and appearance.
Video: Woman Addicted To Eating Toilet Paper Reveals She Consumes Up To Four Rolls Daily, Spending Nearly $2,700 Annually, Netizens Reacts

 

Stay connected via Google News
Follow us for the latest travel updates and guides.
Add as preferred source on Google
Advertisement
×